新闻 > 首页
绝经女性警惕!八旬老太腹痛入院,医生从她宫腔抽出约250ml腥臭味黄绿色脓液
2025-12-16 17:49:20
88岁的王奶奶(化名)近日因宫腔积脓合并严重低血糖、感染性休克入院,经过长沙市中心医院(南华大学附属长沙中心医院)妇产科一区、内分泌科、超声科、营养科等多学科团队联合救治,老人病情稳定,康复出院。
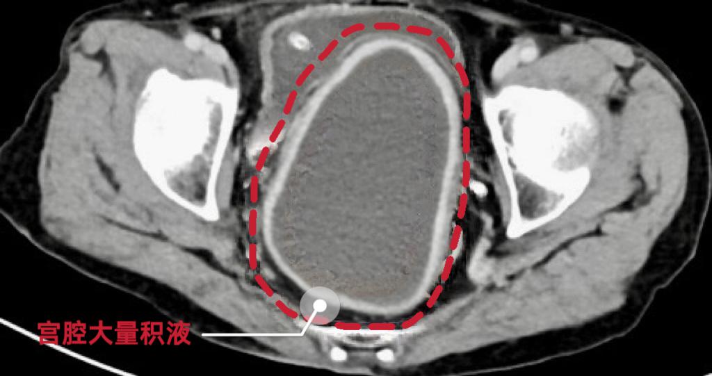
该院妇产科一区黄佼主任介绍,经过询问家属病史了解到,老人一个月前出现过腹痛情况,后面伴随有精神食欲差、嗜睡、逐渐消瘦等症状。此次入院时老人神志模糊,血压下降,血糖波动剧烈,最低血糖仅1.7mmol/L,生命体征极不稳定,腹部CT显示盆腔内巨大包块,考虑“宫腔积脓、感染性休克、严重低血糖”立即收治入院。
面对复杂病情,黄佼主任团队积极给予抗感染、抗休克及严密监测各项指标,迅速联合内分泌科、超声科、营养科等多学科专家进行会诊。内分泌科团队首先针对患者严重低血糖问题展开紧急处理,通过调整补糖速度、持续血糖监测等措施,使患者血糖逐渐趋于稳定。营养科则为患者制定了个性化的静脉营养支持方案,提供能量支持。
在血糖控制稳定后,黄佼主任团队为患者实施了彩超引导下的阴道内镜下宫颈管粘连分离及脓液引流术,术中发现患者阴道萎缩环状缩窄明显、宫颈管严重粘连,内镜下分离粘连后发现宫腔内积聚大量黄绿色、带有腥臭味的脓液。经过精心操作,成功引流出脓液约250ml。术后患者神志逐渐清醒,血压回升,血糖稳定,感染指标明显下降。
典型的宫腔积脓“三联征”表现为阴道流脓排液、绝经后阴道流血和下腹痛,但早期患者一般无明显症状。仅有10%的患者出现典型的三联征,半数患者无明显临床表现,因此宫腔积脓的早期临床诊断较为困难。若治疗不及时,可能引发严重并发症,甚至危及生命。特别是高龄患者,由于症状不典型,免疫力下降,更易发生感染扩散。因此,老年人一旦出现下腹疼痛、发热、异常分泌物等症状,应及时就医,以免延误病情。

术后,医护团队为患者制定了详细的康复计划,包括抗感染治疗、血糖监控、营养支持及心理疏导等。在全体医护人员的精心照料下,患者病情迅速好转,各项指标恢复至正常范围,最终康复出院。
“宫腔积脓又称子宫积脓,指宫腔内炎性分泌物引流不畅,积聚于子宫腔内形成的感染性疾病,是盆腔炎性疾病的特殊表现形式。宫腔积脓的平均发病率约为0.1%—0.3%,绝经后女性的发病率则高达13.6%。”黄佼主任提醒,女性绝经后卵巢功能衰退,雌激素分泌减少,导致阴道壁及子宫内膜萎缩变薄,自净能力降低,病原体易上行感染宫腔。同时,子宫颈及宫颈管萎缩变硬,宫颈外口狭窄甚至呈针尖状,宫腔积液不易排出,继发感染形成宫腔积脓。潇湘晨报记者梅玫 通讯员吴玉 朱文青
下载APP
下载APP